?>

Yapay zeka, hastalık teşhisleri ile hayat kurtaracak!

Yapay zekanın tıp alanındaki uygulamalarıyla, daha doğru hastalık teşhisleri yapılabilecek. Araştırmacılar tüberküloz teşhisi için yeni bir yapay zeka teknolojisi geliştiriyor.

Teknoloji - 9 yıl önce

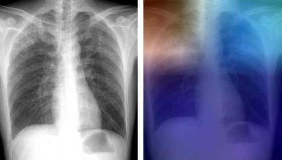
Dünya Sağlık Örgütü'ne göre tüberküloz, dünya çapında en önemli ölüm nedenlerinden biridir. 2016'da yaklaşık 10.4 milyon insan tüberküloza yakalanmış ve 1.8 milyon insanın ölümüyle sonuçlandı. Görüntüleme yöntemleri ile tüberküloz teşhis edilebilir ancak tüberküloz oranı yüksek olan bölgelerde, hastalığın taranması ve teşhis edilmesi için gerekli sayıda ve yeterlilikte radyoloji yorumlama uzmanı bulunmamaktadır.

Artık bandajlar da akıllı hale geliyor

Bilim adamları, bir yaranın nasıl iyileştiğini tespit edebilen ve yaranın durumu hakkında doktora...

Tüberküloz ile mücadele

Philadelphia'daki Thomas Jefferson Üniversitesi Hastanesi'nden araştırmacıların çalışması sayesinde yapay zekanın tıp alanına uygulanarak radyoloji uzmanına gerek kalmadan radyografi görüntü yorumlamaları yapılabilir.

Yapılan testlerde olgular, TB-pozitif ve TB-negatif X-ışınlarından öğrenilen iki farklı DCNN modelini (AlexNet ve GoogLeNet) test etmek için kullanıldı. Modellerin doğruluğu, 150 vaka üzerinde test edildi. En iyi performans gösteren yapay zeka modeli AlexNet ve GoogLeNet'in birleşmesi oldu. Bu modelin net doğruluk yüzde 96’ya ulaştı.

Yapay zeka çözümü

İki DCNN modeli, 150 test davasından 13'ünde ortak karar veremedi. Bu vakalar için araştırmacılar, uzman bir radyoloğun görüntüleri yorumlayabildiği ve vakaların yüzde 100'ünün doğru teşhis edildiği bir iş akışını değerlendirdi. Bir insanı döngüye dahil eden bu iş akışı yüzde 99'a yakın net doğruluk oranına ulaştı.

Geliştirme çalışmaları ve yeterli sayıda testlerin yapılması ile göğüs görüntüleme Teknolojilerini kullanan bir yapay zeka çözümü, tüberküloz ile mücadelede büyük rol oynayabilir.

::  

Kaynak: SHIFTDELETE

dikGAZETE.com

Haftanın Öne Çıkanları

Bilecik karabuğday ambarı olacak

2017-04-24 17:52 - Ekonomi

Adana'da trafik kazası: 1'i ağır 13 öğrenci yaralı

2017-04-24 14:07 - Asayiş

'İstikbalimiz için bu istikrara ihtiyacımız var'

2017-04-22 15:32 - Siyaset

Milyonda bir ihtimalin gerçek olduğu savaş: Çanakkale

2017-04-24 06:27 - Çevre-Hayat

Şemdinli’de PKK’ya ait üç mağara bulundu

2017-04-21 18:17 - Asayiş

Sertifikalı kadın çoban: 'Şerife Ana'

2017-04-20 14:57 - Çevre-Hayat

Ayvacık’ta göçmen faciası: 16 ölü

2017-04-24 21:08 - Asayiş

ABD'nin Kuzey Kore hamlesi

2017-04-19 14:52 - Dünya

Kışanak ve Tuncel hakim karşısına çıkacak

2017-04-20 17:37 - Asayiş

Çankaya Köşkü'nde 'Çocuk Şenliği'

2017-04-23 22:07 - Çevre-Hayat

İlgili Haberler

İtalya'da 200 milyon yıl öncesinden kaldığı düşünülen binlerce dinozor ayak izi keşfedildi

20:22 - Teknoloji

AB, 2035 yılı için öngördüğü içten yanmalı motor yasağını hafifletiyor

20:13 - Teknoloji

TUSAŞ'tan Airbus'a 500'üncü A320 uçağı sevkiyatı

19:07 - Teknoloji

İTÜ'de, Ay'a dönüş hedefiyle yürütülen "Artemis Programı" tanıtıldı

18:43 - Teknoloji

Girişimciler Ostim Teknopark'ta sahneye çıktı

13:12 - Teknoloji

Günün Manşetleri

Lisanslı depoculukla bazı tarım ürünlerinin azami depolama süreleri uzatıldı

10:08 - Ekonomi

İstanbul'da polis denetimlerinde 1062 şüpheli gözaltına alındı

09:53 - Asayiş

FETÖ'nün "kamu mahrem yapılanması" soruşturmasında 19 şüpheliye gözaltı kararı

09:39 - Asayiş

Küresel piyasalar yön arayışında

09:23 - Ekonomi

Galatasaray, Türkiye Kupası'nda yarın RAMS Başakşehir'i ağırlayacak

09:08 - Spor